
2025年3月18日,国家卫生健康委公布了2023年度全国三级公立医院绩效考核结果,岳阳市人民医院再次荣获A等级评价,成为全市唯一连续四年获此殊荣的医院。这一成绩的取得,标志着岳阳市人民医院在医疗质量、服务水平、管理能力及科研教学等方面均达到了国内领先水平,是医院高质量发展道路上的又一重要里程碑。
全国三级公立医院绩效考核被誉为全国公立医院的“国考”,是国家对公立医院综合能力和水平的最高权威评价。该考核体系涵盖医疗质量、运营效率、持续发展、满意度评价四个维度,是检验和评价公立医院高质量发展成效的“金标准”和“风向标”。岳阳市人民医院能够连续四年获得A等级,充分展示了岳阳市人民医院在医疗、管理、服务等多方面的卓越表现。
近年来,岳阳市人民医院始终坚持以患者为中心,不断提升医疗服务质量,注重学科建设,积极引进和培养高层次医疗人才,加强医疗技术创新和突破,推动了医院整体医疗水平的提升。同时,医院还加强运营管理,建立健全预算管理制度,优化资源配置,提高了医院运营效率。此外,医院还注重患者满意度评价,持续改进医疗服务流程,提升患者就医体验。
在持续发展方面,岳阳市人民医院积极适应医疗卫生体制改革的新要求,加快转型升级步伐。医院加强科研教学协同发展,推动医疗技术创新和成果转化,为医院的高质量发展注入了新的活力。同时,医院还积极拓展区域医疗合作,推动优质医疗资源下沉基层,提升了区域医疗服务水平。
自1985年成功开展断肢再植术以来,岳阳市人民医院已累计完成完全离断再植术1021例(涵盖断肢、断指、断趾、断掌、阴茎再植等),不完全离断再植术2384例,以精湛技术守护患者肢体功能与生命尊严。

12月10日,岳阳市卫健委党组书记、主任蔡吉伟一行来院探望近期成功救治的断肢患者。蔡吉伟高度赞扬医院骨科团队:“患者成功救治,彰显了医院从转运调度、绿色通道到手术执行、术后监护康复的全链条过硬能力,更体现了高超医术、医者仁心与大医精诚的品质。这既是岳阳创伤救治与显微外科技术的标杆,更是卫健系统的骄傲。”

11月22日上午,一场与时间赛跑的生命救援在岳阳市人民医院展开。9时26分,骨一科主任殷咏强接到120紧急来电:“一名右前臂完全离断的女性患者正从临湘紧急转送,请立刻做好急救准备!”他立即协调手麻中心启动术前响应,所有人员迅速就位。10时11分,救护车呼啸而至,患者与用专业冷藏装置保存的断肢同步抵达手术室。患者为56岁女性,因起重机钢索突然绞缠右臂,导致前臂自肘部以下完全离断,且伴随手部、腕部至上臂下段的广泛性撕脱毁损。与普通切割伤不同,钢索的强力绞拧形成“碾压—撕扯—扭转”的复合暴力,不仅切断骨骼、肌肉与神经血管,更造成血管壁严重挫伤、神经束呈“碎片化”断裂、肌肉组织大面积坏死溶解,断端损伤范围远超肉眼可见的创缘。”
面对如此凶险的伤情,殷咏强深知:肢体离断后缺血耐受时间稍有延误,便可能因组织不可逆坏死导致再植失败。他争分夺秒完成评估、断肢清创与血管神经初步探查,为手术争取黄金窗口。术中,在高倍显微镜下展开毫米级的精细操作——首先进行骨骼缩短固定,为后续软组织修复搭建稳定框架;接着逐层分离辨认被绞烂的血管断端,清除挫伤组织,对无法直接吻合的血管段果断采用自体静脉移植桥接,精准吻合桡动脉、尺动脉及数条伴行静脉,重建肢体“生命通道”;随后细致对接正中神经、尺神经、桡神经,为术后感觉与运动功能恢复种下希望。10小时的连续奋战,团队轮流坚守手术台,应对血管痉挛、组织水肿、吻合口渗漏等突发状况,甚至对部分毁损严重的血管与神经实施游离移植修补,每一步操作都以“零误差”为标准,终于在术后即刻观察到患肢末梢血运恢复红润,手术取得决定性成功。
术后,患者被转入专科重症监护病房,医护团队量身定制监护方案:24小时动态监测皮温、颜色、感觉及血运变化,精准调控抗凝、抗痉挛药物剂量,严密防范血管危象与感染风险。目前,患者再植手臂血运持续通畅,肿胀逐步消退,已能自主完成轻微屈伸动作,进入功能康复阶段。
这例高难度再植成功,不仅印证了医院显微外科的顶尖技艺,更凸显了医院在复杂创伤应急救治中“转运—急救—手术—监护”全链条的高效协同,为守护群众生命健康提供坚实保障。
在医学界,胰十二指肠切除术被称为"普外科手术的皇冠",而保留十二指肠的胰头切除术(DPPHR)则被誉为"皇冠上的明珠"——它不仅要求精准切除病变,还要完美保留消化道的完整功能,手术难度堪称腹部外科的巅峰挑战。 7月,岳阳市人民医院胆胰脾外科成功完成3例腹腔镜下保留十二指肠胰头切除术,其中最近一例患者术后仅两周即康复出院,标准着岳阳市人民医院普外微创技术再次实现新突破。


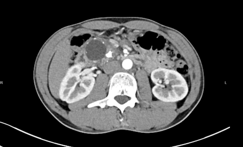
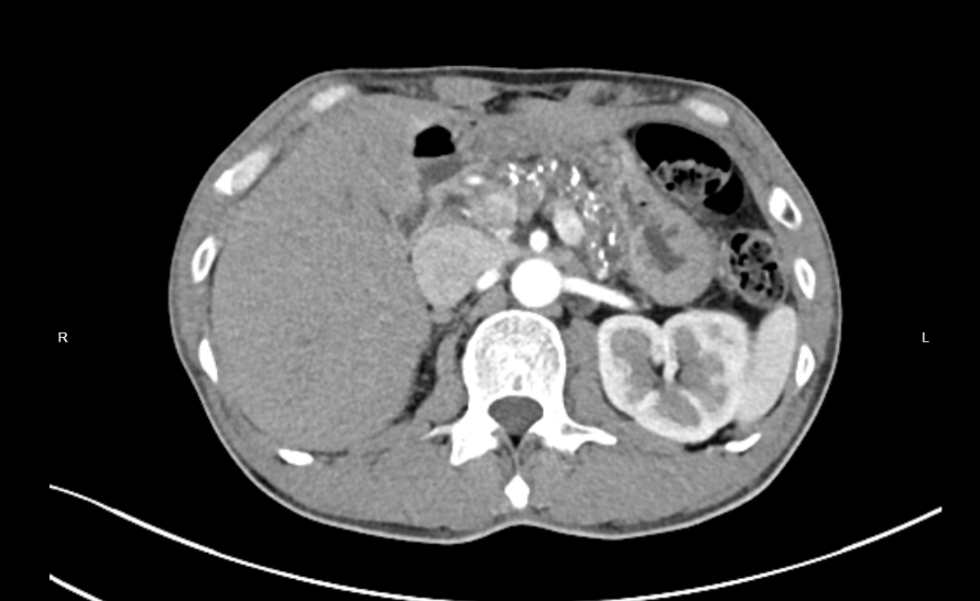
(图一:胰头部占位)(图二:胰腺多发结石)
最新一例患者是49岁男性王先生。 他长期饱受胰腺炎、糖尿病困扰,近期因上腹不适检查发现胰头部囊性肿瘤、胰腺结石及慢性胰腺炎急性发作。传统手术需切除十二指肠、部分胃及胆道,创伤大、恢复慢。相比传统切除术,保留十二指肠的胰头切除术(DPPHR)创伤更小、恢复更快、术后生活质量更高,但技术难度极大——稍有不慎就可能导致十二指肠缺血坏死或胆管损伤,因此对主刀医生的解剖功底、精细操作能力要求极高。
胆胰脾外科主任朱卫东带领手术团队凭借精湛技术,采用3D4K荧光腹腔镜,在5小时内精准完成手术,完整切除病变胰头,同时保留十二指肠、胆道及胃的生理功能。术后,王先生2天下床活动,4天恢复饮食,1周行动自如,术后2周顺利出院,目前无任何并发症。

看着体重秤上282斤的数字,22岁的小蒋几乎绝望。尝试过节食、运动、药物等各种减肥方法后,她的体重依然居高不下。直到在岳阳市人民医院接受了胃转流支架植入术,这项岳阳首例的微创减重手术,让她在3个月内成功减重44斤,腰围也从148厘米缩减到129厘米,术前BMI49.4kg/m²降至42.6kg/m²。


术前VS术后
胃转流支架植入术是一种创新的微创减重治疗方法。就像在肠道里安装了一个"智能分流器",通过内镜将特殊材料制成的支架和生物膜管置入消化道。未装胃转流支架前,吃下去的食物会从胃进入肠道。装了胃转流支架后,食物会从胃进入生物膜管,原本肠道里的胆汁、胰液等消化液被生物膜管隔离在外,两者仅在空肠中段混合,这种“分流”机制大大缩短了有效消化吸收的“肠段”,减少糖、脂肪等营养物质的吸收。支架还可刺激肠道分泌GLP-1等激素,抑制食欲并改善胰岛素抵抗,从而达到减重和调节代谢的双重效果。
哪些人适合手术?
生活方式调整无效、无创治疗及药物治疗效果不佳的成年肥胖患者(18岁≤年龄≤60岁):
1. BMI≥32.5 kg/m²的单纯性肥胖症患者;
2. BMI 在 30-32.5 kg/m²之间,且至少符合 2 项代谢综合征组分a的肥胖症患者;
3. BMI 在 30-32.5 kg/m²之间,且存在合并症b的肥胖症患者。
手术优势
1、微创可逆:无须开刀,3个月后支架可轻松取出,恢复原消化道结构。
2、体重下降:临床研究数据显示,80%的患者3个月内减重10%-25%。60%患者在取出支架6个月后仍可持续减重。
3、代谢改善:除减重外,可显著降低血糖、血脂,改善脂肪肝和胰岛素抵抗,部分患者糖化血红蛋白(HbA1c)可下降,一举多得。
4、低并发症风险:术后24小时即可恢复正常活动。
禁忌人群
严重心肺疾病、消化性溃疡,食管或胃底静脉曲张、消化道畸形、凝血功能障碍、暴食等患者不宜使用。
胃转流支架植入术作为岳阳市人民医院在岳阳地区率先开展的创新技术,将为肥胖患者带来全新的治疗选择。岳阳市人民医院体重管理中心组建了多学科专家团队为每位患者制定个性化的减重治疗方案,从术前评估到术后管理,全程为患者的健康保驾护航。如果你也在为肥胖问题困扰,不妨来院咨询,让专业医生为你评估是否适合这项创新的减重治疗方法。
5月,岳阳市人民医院脊柱外科团队成功完成了湘北地区首例3D外视显微镜下颈椎前路融合内固定术(ACDF)。由于颈椎手术均为四级手术,手术难度大、风险高,显微外视镜辅助可提供更为清晰的手术视野,大幅度提高手术的安全性与精准性。该技术的成功开展标志着岳阳市人民医院在高精度显微脊柱外科领域又迈出了坚实一步。
3D外视显微镜


病例分享:
患者李女士,68岁,反复颈部疼痛并四肢麻木3月,影像学检查后确诊为脊髓型颈椎病,C5/6椎间盘突出伴颈髓损伤,保守治疗无效。脊柱外科钟炯彪主任根据患者病情制个体化治疗方案,由于C5/6椎间盘突出部位已出现钙化并有可能与硬膜粘连,手术难度骤增,因此脊柱外科决定采用3D外视显微镜辅助对该患者实施颈椎ACDF术。
术前影像-MRI/CT


本次手术由钟炯彪主任医师主刀,团队成员高效协作,借助3D外视镜高清显微成像,术者通过佩戴3D眼镜直视屏幕操作,术野清晰立体,“层层解剖”,大幅提升了操作的舒适度与精准度。手术在清晰立体的视野下,术者能准确完成病变椎间盘切除、脊髓减压及椎间融合、钛板螺钉固定等关键步骤,出血量较平常减少超50%,神经周围操作精细,极大降低了并发症的发生。
患者术后顺利康复,四肢麻木乏力症状明显减轻。术后第2天即佩戴颈围下床活动,活动自如,复查影像学显示内固定满意,术后第5天即出院。
近年来,医学影像技术及手术辅助设备迅猛发展,3D外视镜系统作为一种新型的视觉辅助设备,逐渐被引入至高精度脊柱外科手术中。3D外视显微镜不仅具备高清、立体、放大的术野图像,也改变了传统手术显微镜束缚术者眼睛与操作空间等不利因素,利于长时间精准显微操作,提升了手术安全性和术者体验。
钟炯彪主任指出,此次采用的“鹰眼”级三维仿生成像系统,让手术视野“立体透视”,支持50x倍超高倍率放大以及大于600mm的工作距离,可清晰呈现脊髓外硬膜、硬膜外小血管、后纵韧带、神经根及周围微细血管等重要危险结构。术中医生通过4K医疗级3D显示屏幕直视操作,摆脱了传统显微镜“低头弓腰”的姿势,显著降低术者颈椎劳损程度,同时3D成像技术可实时共享到教学平台,助力年轻医师培养与多学科协作。
3D外视显微镜技术的熟练应用,为高难度、高风险的脊柱手术患者提供了创伤更小、安全性更高的手术方案,填补了岳阳地区脊柱外科显微外视手术的技术空白。
来源:岳阳市人民医院







