8月27日,岳阳市中心医院顺利通过湖南省新冠肺炎定点医院评估,省卫生计生综合监督局医疗卫生监督处处长王革生一行莅临现场指导。





8月25日,岳阳市中心医院党委书记曾强带领班子成员深入乡村振兴联系点——平江县三市镇大洞口村调研走访,持续提升为群众办实事、解难题的实践成效。


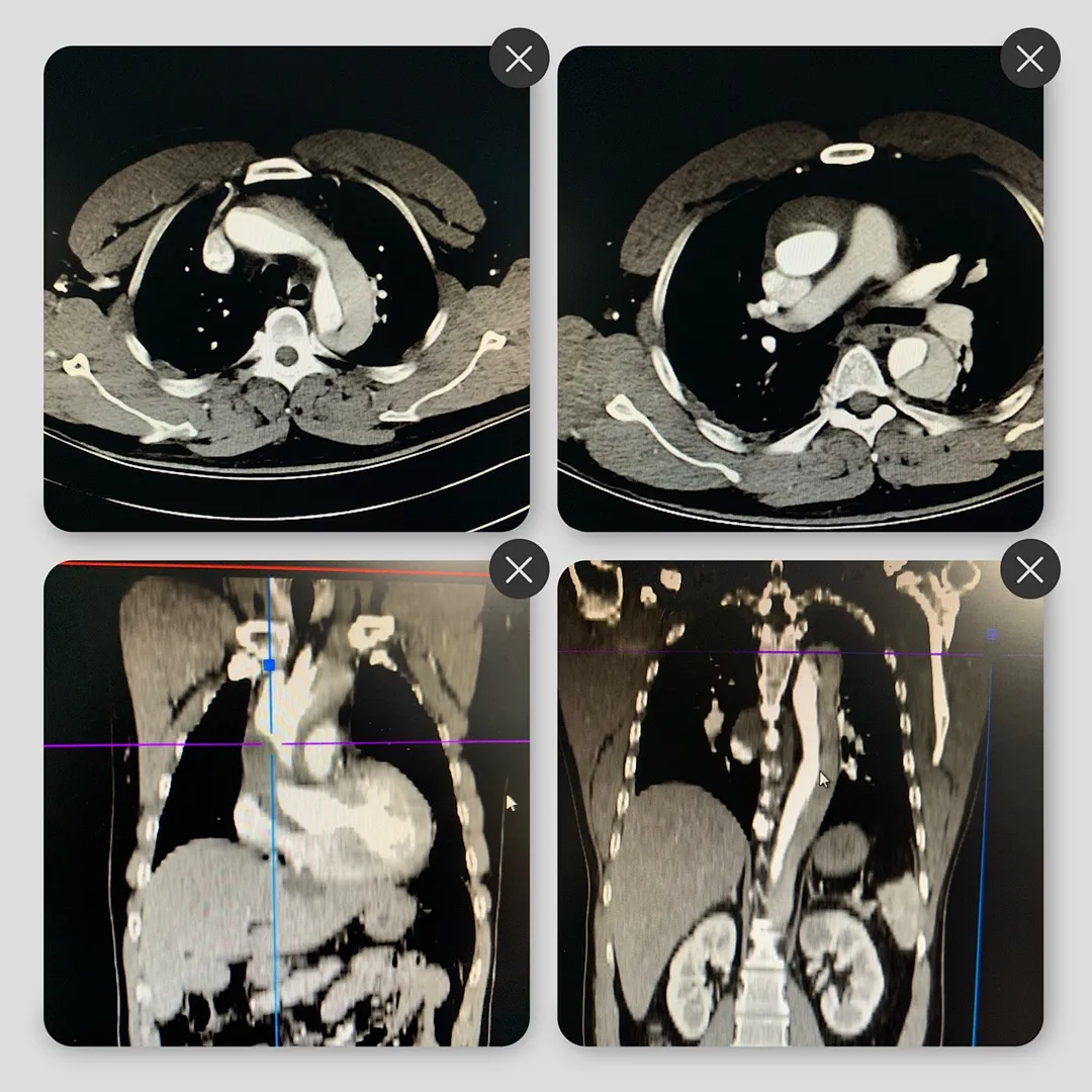
8月24日,心脏大血管外科顺利完成第4例主动脉夹层(A型)主动脉瓣成形术+升主动脉置换术+主动脉全弓置换术+象鼻子支架植入术,为凶险型主动脉夹层患者赢得生机。





8月29日,内科消化中心成功完成第3例TIPS(经颈静脉肝内门体分流术)手术,为肝硬化门脉高压患者打通生命通道。





8月26日,胎龄仅26周、出生体重仅820克的“巴掌宝宝”李宝宝,在新生儿科医护人员60天的全力救治下,各项生长指标恢复理想,体重增加到2000克,顺利出院。






8月28日,儿外科在严格执行疫情防控的同时,为13岁左侧睾丸扭转患儿开通绿色通道,争分夺秒实施急诊左侧睾丸扭转复位术+双侧睾丸固定术,从患儿就诊到手术完成仅用时三小时。


8月24日,在2021“得佑杯”湖南广西大区早期胃癌规范化诊疗病例大赛中,消化中心副主任彭澎荣获诊断组第一名,副主任苏卫华荣获病理组第二名,彭澎晋级全国半决赛。


疫情防控期间,重症医学科持续保持危重症病人救治绿色通道通畅,患者数量持续处于高位。期间成功完成第54例暴发性重症心肌炎合并室速、心跳骤停病人的ECMO救治,目前病人已成功脱离ECMO。





来源:岳阳市中心医院







