
(图一:刘祥明主任为邹先生检查眼睛中)
突发眼疾:视力骤降伴变形,男子陷入困扰
据了解,邹先生多年来一直受高度近视困扰,此前视力虽有下降,但并未影响正常生活,因此未加以重视。10天前,他突然发现左眼视力明显减退,看物体时出现扭曲变形的情况,就连日常看手机、看书都变得十分困难,这才慌忙前往医院检查。

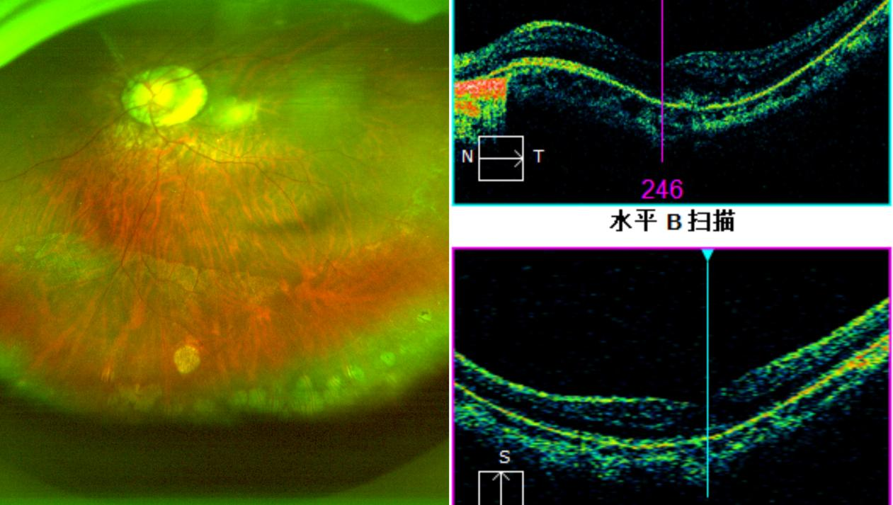
(图二:邹先生左眼欧堡眼底照相及OCT检查如图所示)
医院为邹先生进行了全面的眼部检查,检查结果显示,其双眼黄斑区网膜后凸,呈典型的高度近视眼底改变,左眼黄斑中心凹下可见片状高反射信号,左眼视神经纤维轻度变薄;欧堡眼底照相则发现,邹先生左眼呈豹纹状改变,黄斑中心凹可见暗红色点状出血,结合临床症状,最终确诊为左眼脉络膜新生血管、双眼高度近视性脉络膜视网膜病变。
确诊重症:高度近视诱发眼病,手术势在必行
“脉络膜新生血管又称视网膜下新生血管,是指来自脉络膜的新生血管病理性生长延伸到视网膜下,最常见于病理性近视等眼病人群。”岳阳爱尔眼科医院眼底病科主任刘祥明介绍,这种疾病若不及时治疗,会导致视力持续下降,严重时可造成失明,而邹先生的高度近视正是引发该病症的主要诱因。目前,玻璃体腔内注射抗VEGF药物是治疗脉络膜新生血管的有效方式,可特异性抑制异常新生血管生长、减少渗出和出血,稳定患者视功能,因此医院建议邹先生尽快接受左眼玻璃体药物注射术治疗。

(图三:邹先生左眼玻璃体药物注射术后)
一听到需要手术,邹先生犯了难。他家庭经济条件一般,属于低收入人群,手术及后续治疗费用让他望而却步,甚至有了放弃治疗的念头。就在邹先生一筹莫展之际,医院医护人员告知他,由岳阳市卫健委、岳阳市慈善总会、湖南爱眼公益基金会联合发起的“光明岳阳・与爱同行”公益活动,正为岳阳市眼病困难群体提供医疗救助,他的情况符合救助条件。
公益援手:救助政策解民忧,守护清晰视界
据了解,“光明岳阳・与爱同行”公益活动将持续至2027年8月31日,由各县市区卫健局、慈善协会及岳阳爱尔眼科医院各分院共同执行。湖南爱眼公益基金会每年捐资100万元,3年总计投入300万元,专门帮扶低保户、五保户、残疾人、特困户及低收入人群中的眼病患者,涵盖白内障、翼状胬肉、眼底病等多种可手术治疗的眼病。
活动明确,眼底病注药患者自费部分按单人第一针资助1000元、第二针资助800元、第三针资助500元,每位患者资助不超过3针。在医护人员的协助下,邹先生顺利提交了救助申请,将获得第一针手术注药的1000元公益资助,极大减轻了经济负担。“多亏了这项公益活动,让我不用再为费用发愁,终于能安心接受治疗了。”邹先生激动地说。
刘祥明主任提醒,高度近视人群是脉络膜新生血管等眼底病的高发群体,这类疾病早期症状多为视力下降、视物变形,容易被忽视,待病情加重时可能造成不可逆的视力损伤。建议高度近视人群定期进行眼部检查,一旦出现视力异常,及时前往正规医院就诊,做到早发现、早诊断、早治疗。同时,符合条件的困难眼病患者,可积极申请“光明岳阳・与爱同行”公益救助,借助公益力量重获清晰视力。
岳阳市广播电视台全媒体
编审:易潺 张灵均
版权声明:
凡本平台注明“记者:XXX”的所有作品,均为本平台合法拥有版权或有权使用的作品,未经本平台授权不得转载、摘编或利用其它方式使用上述作品。已经本平台授权使用作品的,应在授权范围内使用,并注明“来源:岳阳广电全媒体”。违反上述声明者,本平台将追究其相关法律责任。
如因作品内容、版权和其它问题需要同本平台联系的,请在相关作品发布之日起30日内进行。







