近日,岳阳市中医医院心血管病科成功完成两例经导管主动脉瓣置换术(TAVR),标志着医院在结构性心脏病微创介入治疗领域实现重大突破,为高龄及高危心脏瓣膜病患者开辟了“不开胸换瓣”的全新治疗路径。
技术革新:微创介入破解“心门”难题
65岁的王嗲,主动脉瓣狭窄导致反复心力衰竭多年,因恐惧手术未接受根治性治疗。前不久,因心衰症状再次发作,严重胸闷、气短入住岳阳市中医医院心血管病科,经石闯主任诊断,王嗲为重度主动脉瓣狭窄伴轻度反流。传统开胸手术风险高,而药物保守治疗效果有限,患者生活质量会直线下降。
石闯主任带领心血管病科介入团队综合评估后,决定为王嗲行经导管主动脉瓣置换术(TAVR)。并迅速组建多学科专家组成的TAVR团队,制定个体化手术方案。

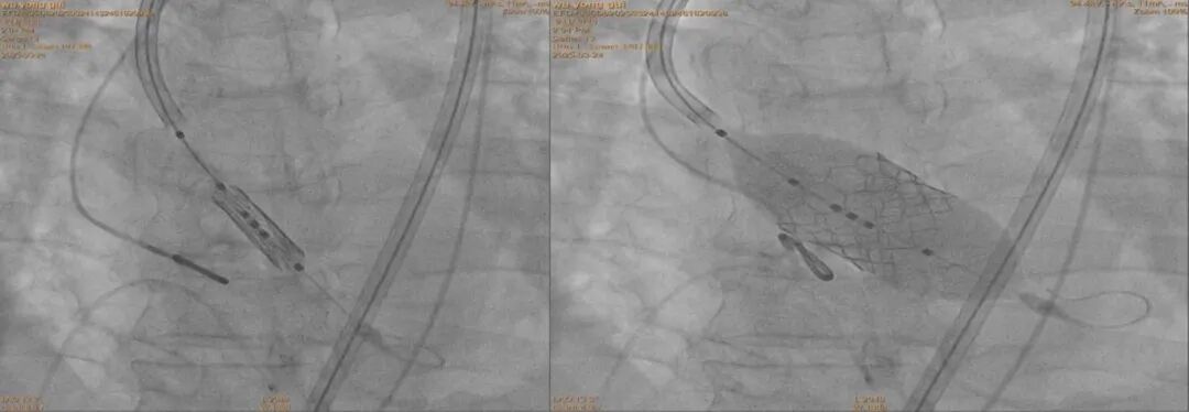
手术当天,心血管病科介入团队在石闯主任带领下为患者行主动脉瓣置换术(TAVR),通过CTA及超声精准测量瓣环结构,历时2小时成功完成瓣膜置换,术后患者血流动力学显著改善,未出现严重并发症。

图源:网络
主动脉瓣置换术(TAVR)通过股动脉穿刺,将压缩的人工生物瓣膜精准输送至病变的主动脉瓣位置并释放,替代原有狭窄瓣膜的功能。该技术无需体外循环和心脏停跳,手术创伤小、恢复快,尤其适用于传统开胸手术风险高的老年患者。
科学应对:多学科协作筑牢安全防线
手术成功得益于心血管病科、麻醉科、影像科、超声科等多学科专家的紧密协作。术前通过三维影像重建精确评估瓣环解剖特征,术中采用经股动脉入路减少创伤,结合实时超声监测确保瓣膜定位精准。团队还制定了详细的风险应急预案,从术前评估到术后监护全程把控,最大限度保障患者安全。
临床价值:早诊早治守护“心”健康
主动脉瓣狭窄是常见心脏瓣膜病,重度患者若未及时干预,可能出现心力衰竭、心肌梗死甚至心脏骤停。TAVR技术的引入,不仅填补了区域技术空白,更通过微创方式显著提升了高龄患者的治疗耐受性和生活质量。医院将持续优化技术流程,扩大适应症覆盖,让更多患者在家门口享受前沿医疗成果。

图源:网络
从“开胸锯骨”到“导管换瓣”,岳阳市中医医院心血管病科正以技术创新为引擎,推动心脏疾病治疗模式向更安全、更高效的方向迈进。这场“心”的革命,将为更多患者点燃生命的希望之光。
-End-
来源:岳阳市中医医院







