岳阳广电全媒体10月20日讯(通讯员/余倩)“就听见‘啪’的一声,眼睛突然剧痛,眼泪止不住地流,看东西也模模糊糊的。”回忆起一周前打板栗的经历,53岁的钟女士仍心有余悸。正是这次未做好防护的采摘行为,让5根板栗刺扎入她的右眼,险些造成永久性失明。
据钟女士介绍,一周前她上山打板栗时,因未佩戴任何眼部防护装备,在敲打板栗树过程中,一颗带刺的板栗球从高空坠落不幸击中了她的右眼。突发的剧痛让她瞬间慌乱,情急之下用现场的井水冲洗了眼睛,随后前往当地医院接受输液治疗。然而经过数日治疗,眼部疼痛、发红、畏光等症状不仅没有缓解,视力反而持续下降,这让家人忧心忡忡,立即驱车将她送往岳阳爱尔眼科医院急诊。

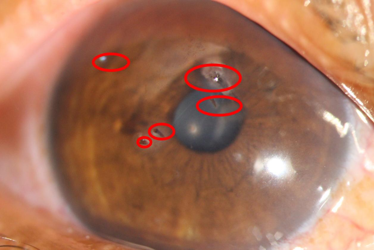
(右眼荧光素染色下眼前段照相如图所示)
急诊眼科医生赖琪珍接诊后,迅速为钟女士进行全面眼部检查。视力检查显示,其右眼裸眼视力仅为指数/10cm(即眼前10厘米处仅能分辨手指数量),左眼裸眼视力0.6;眼压检查提示右眼15mmHg、左眼17mmHg,处于正常范围。而专科检查的结果让医生倍感棘手:钟女士右眼球结膜充血明显,角膜中央有4根板栗刺扎入,更危险的是上方有一根约3-4mm长的板栗刺穿透角膜进入前房,前房水已出现混浊,瞳孔圆且居中,但对光反射迟钝,瞳孔缘 可见炎性渗出,晶状体也已出现混浊。
“板栗外壳的毛刺尖锐且带有大量微生物,一旦刺入眼球,不仅会造成机械性损伤,还极易引发真菌、细菌感染,进而导致眼内炎、白内障等严重并发症,若不及时手术,随时可能发展为失明。”赖琪珍医生强调,钟女士的病情已十分危急,必须立即手术取出异物并控制感染,防止眼部组织进一步受损。
医院迅速为钟女士开通绿色诊疗通道,由综合眼病科赖琪珍副主任医生急诊,在局部麻醉下为其实施眼部异物取出术。由于异物位置特殊,尤其是深入前房的那根板栗刺,取出过程中需精准操作,避免损伤角膜内皮、晶状体等重要眼部结构。赖琪珍医师借助高倍眼科手术显微镜,小心翼翼地对眼部异物进行定位,随后凭借丰富的临床经验和精湛的手术技巧,将5根板栗刺逐一完整取出。整个手术过程顺利,异物全部清除干净。
术后复查显示,钟女士右眼异物已完全取出,眼部炎症得到有效控制,视力正在逐步恢复中。针对此次案例,赖琪珍医师特别提醒广大市民,秋季是板栗成熟的季节,采摘板栗时务必做好眼部防护,佩戴防护眼镜或面罩,避免用手直接揉眼。若不慎发生眼部异物入眼,切勿自行用手揉搓或用不洁水源冲洗,应立即闭眼并前往正规眼科医院就诊,由专业医生处理,以免延误治疗时机造成严重后果。
赖琪珍医生补充道,每年秋季都会接诊多例因采摘板栗、银杏果等发生眼部外伤的患者,其中多数是因未做好防护措施导致。眼部组织极为脆弱,异物入眼后若处理不当,哪怕是细小的毛刺也可能引发角膜溃疡、眼内炎等严重疾病,给视力造成不可逆的伤害。在此呼吁市民在进行户外采摘等可能伤及眼部的活动时,务必提高防护意识,做好个人防护,守护好“心灵的窗户”。
岳阳市广播电视台全媒体
编审:易潺 张灵均
版权声明:
凡本平台注明“记者:XXX”的所有作品,均为本平台合法拥有版权或有权使用的作品,未经本平台授权不得转载、摘编或利用其它方式使用上述作品。已经本平台授权使用作品的,应在授权范围内使用,并注明“来源:岳阳广电全媒体”。违反上述声明者,本平台将追究其相关法律责任。
如因作品内容、版权和其它问题需要同本平台联系的,请在相关作品发布之日起30日内进行。







