
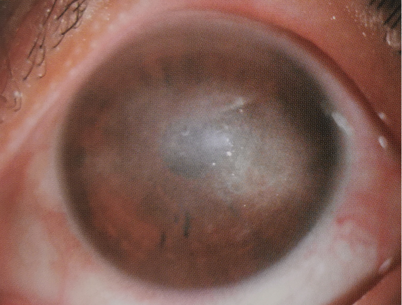
通过一系列详细检查,岳阳爱尔眼科医院角膜及眼表专科汪洁主任初步诊断赵女士为“左眼单纯疱疹病毒性角膜炎”。汪主任介绍说,病毒性角膜炎指的是受病毒致病原感染角膜而引起的炎症,常见的症状有:畏光、流泪、酸痛、视力模糊等。 作为秋冬常见眼病,病毒性角膜炎病程长,且易反复发作,多次发作后使角膜混浊逐渐加重,可导致角膜瘢痕形成、新生血管化、穿孔等,是临床上较为常见的致盲眼病之一。
引发病毒性角膜炎常见的是单纯疱疹病毒,这种病毒平时并不致病,常潜伏在三叉神经节上,但当身体抵抗力下降时便会乘机侵入。尤其在儿童或病患等抵抗力低下人群,感冒、熬夜或者其他病症都可能成为发病的诱因。
根据病变累及深度分为三型:

上皮型(点状、树枝状、地图状角膜炎)

基质型(浅中基质型、深基层型角膜炎)

内皮型(线状、弥漫型内皮炎)
根据患者不同的感染类型,临床上有不同的治疗方案,需要先通过详细的检查,就诊后评估患者病情。大多数患者,按照医嘱用药,正规程序治疗,眼睛情况会逐渐好转;一旦情况严重,有些则需要通过手术治疗来促进修复。

汪洁主任提醒:“秋冬交替季节降温幅度较大,既往有单纯疱疹病毒性角膜炎发作病史的患者需要积极添加衣物,避免着凉感冒。抵抗力下降可能诱发病毒复发,反复发作可能逐渐导致不可逆的视力下降。一旦形成溃疡,若无法积极治疗,可能继发角膜溶解穿孔,甚至导致眼球无法保留。早发现、早治疗,避免延误病情”。
来源:岳阳爱尔眼科医院







